2D + 3D Röntgen

Digitales, strahlungsarmes Röntgen

Zur Diagnose und Früherkennung setzen wir in unserer Praxis bereits seit einiger Zeit auf digitales Röntgen. Für Sie als Patient bedeutet dies eine deutlich geringere Strahlenbelastung gegenüber herkömmlichen Apparaturen. Außerdem können durch die höhere Aufnahmequalität präzisere Diagnosen gestellt werden.

Ob wir nun den Zustand Ihrer Füllung überprüfen wollen, den Verlauf einer Zahnwurzel nachvollziehen möchten oder Ihren Zahnersatz ideal planen wollen: Digitale Röntgenaufnahmen von Zahn und Kiefer sind unverzichtbar für eine exakte Diagnostik und legen somit den Grundstein für eine erfolgreiche Behandlung. Auch Entzündungsherde und Karies können wir somit frühzeitig erkennen. Denn nur durch das Röntgen werden auch von außen nicht erkennbare Details sichtbar. Somit erhalten wir ein verlässliches Bild über Ihren Zahnzustand.

Für Sie, unsere Patienten, ergibt sich durch diese fortschrittliche Technologie eine um bis zu 30-90% geringere Strahlenbelastung als bei herkömmlichen Röntgenaufnahmen. Möglich ist dies durch die moderne Technik des Aufnahmegerätes, die deutlich weniger Strahlungsenergie als bisher benötigt. Dabei werden Röntgenstrahlen nicht mehr analog abgelichtet, sondern durch eine sensible Sensorik digital erfasst.

Orthophos SL Dental X-ray Machine
Panoramic Dental X-Ray Machine with Digital Imaging
DCS Direct Conversion Sensor Technology
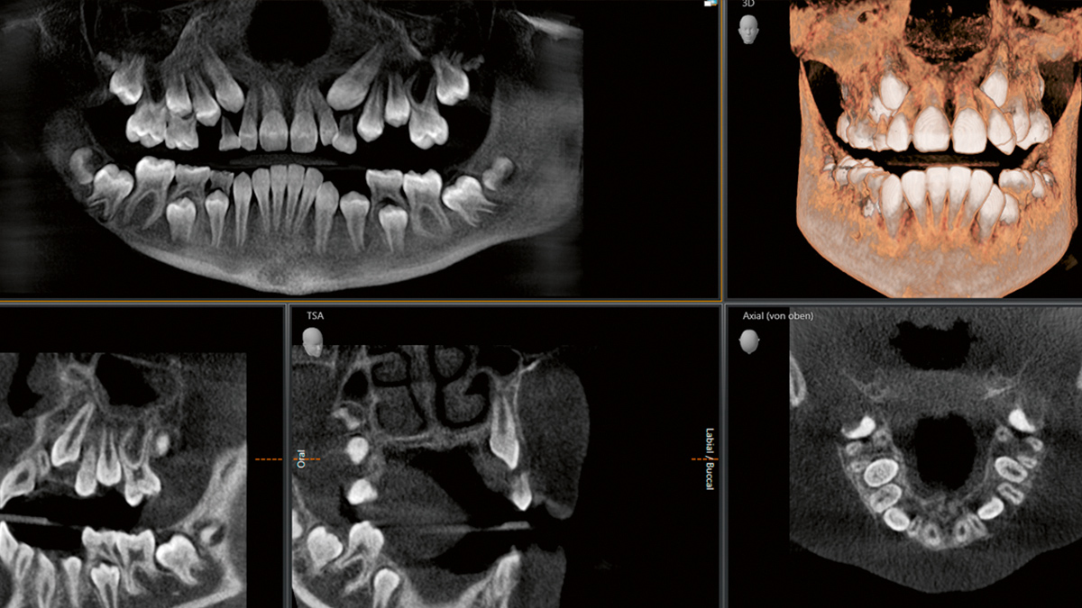
3D-Darstellung der Zahnstellung und Kieferstruktur
Mehrdimensionale Röntgendiagnostik des Gebisses
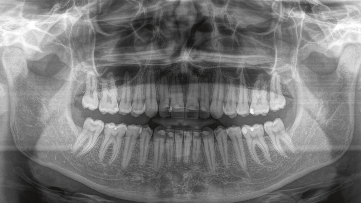
Panorama-Röntgenbild des gesamten Gebisses

Weniger Strahlenbelastung – höhere Auflösung

Digitales Röntgen bietet außerdem weitere Vorteile: Durch die digitale Verarbeitung der Signale sind höhere Auflösungen und auch Aufnahmen im Mikrometer-Bereich möglich, zum Beispiel im Zahnwurzelkanal. Zudem können wir damit auch Farb- und sogar 3D-Aufnahmen von Kiefer und Zähnen anfertigen. Diese räumlichen Aufnahmen bringen auch kleinste Details ans Tageslicht und ermöglichen uns somit eine deutlich präzisere Diagnostik.

Darüber hinaus können die digitalen Aufnahmen direkt am Computer bearbeitet, optimiert und abgespeichert werden. Somit können wir die Röntgenaufnahmen ohne große Umstände an andere Praxen weitergeben – bei der Konsultation von Spezialisten oder einem Umzug Ihrerseits ein unbestreitbarer Vorteil. Zu guter Letzt fallen bei dieser Technik auch durch den nicht mehr benötigten Entwicklungsprozess der Aufnahmen keine Chemieabfälle mehr an – so profitiert auch die Umwelt von digitalem Röntgen.

So hoch ist die Strahlenbelastung beim digitalen Röntgen
Bei einer durchschnittlichen Aufnahmedauer ist die Strahlenbelastung geringer als bei einem halbstündigen Flug in einer Höhe von 11.000 Metern. Auch sind Aufnahmen des Kieferraumes deutlicher weniger riskant als beispielsweise Lungenaufnahmen. Vorsicht ist trotzdem geboten – vor allem bei Schwangeren sollte jede Röntgenaufnahme gut abgewogen werden.

 
Sprechzeiten
Tag Std.
Mo 09:00 - 11:00 + 13:00 - 17:00 Uhr
Di 07:30 - 12:00 Uhr
Mi 09:00 - 11:00 + 13:00 - 17:00 Uhr
Do 09:00 - 11:00 + 13:00 - 17:00 Uhr
Fr 07:30 - 12:00 Uhr
07321 / 97 30 20
Notdienst

An Samstagen, Sonntagen und Feiertagen zu erfahren unter: 0761 / 12012000

Social-Media

© 2025 Zahnarztpraxis Dr. med. dent. Hubert Schamberger | Impressum Datenschutz